Le traitement All-on-6 au Portugal est aujourd’hui l’une des solutions les plus avancées pour remplacer toutes les dents d’une mâchoire grâce aux implants dentaires. De plus en plus de patients européens recherchent des informations sur le All-on-6 Portugal afin de retrouver une dentition fixe, stable et esthétique.
La technique All-on-6 permet de remplacer toutes les dents d’une arcade grâce à six implants dentaires placés dans l’os de la mâchoire. Une prothèse fixe complète est ensuite fixée sur ces implants afin de recréer une dentition naturelle et fonctionnelle. Cette solution est aujourd’hui largement utilisée dans les traitements de réhabilitation complète de la dentition.
Le traitement All-on-6 au Portugal attire chaque année de nombreux patients internationaux. Les cliniques dentaires portugaises disposent d’équipements modernes et de dentistes expérimentés spécialisés dans l’implantologie. Le pays est devenu une destination reconnue dans le domaine du tourisme dentaire en Europe.
Dans cet article complet, nous allons expliquer en détail comment fonctionne le All-on-6 au Portugal, quels sont les avantages de cette technique, comment se déroule le traitement et pourquoi cette solution est aujourd’hui l’une des plus fiables pour remplacer toutes les dents.
Qu’est-ce qu’un traitement All-on-6 au Portugal ?

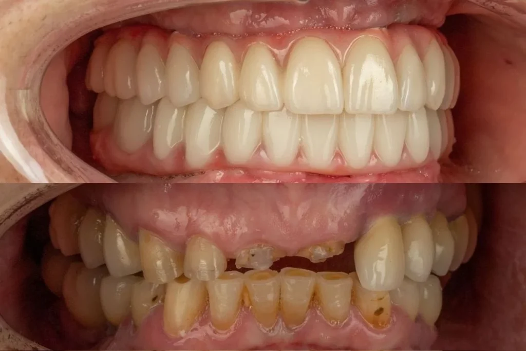
Le traitement All-on-6 au Portugal est une technique d’implantologie qui permet de remplacer toutes les dents d’une mâchoire à l’aide de six implants dentaires. Ces implants servent de support à une prothèse fixe complète appelée souvent bridge complet sur implants.
Les implants utilisés dans un All-on-6 Portugal sont généralement fabriqués en titane, un matériau biocompatible qui s’intègre naturellement dans l’os de la mâchoire. Une fois les implants posés, ils deviennent la base sur laquelle est fixée une prothèse complète.
Le principe du All-on-6 est de répartir les forces de mastication sur six implants stratégiquement positionnés dans l’os. Cette répartition permet d’obtenir une excellente stabilité et une grande durabilité du traitement.
Dans un All-on-6 au Portugal, la prothèse finale peut être réalisée dans différents matériaux, notamment la céramique ou la zircone. Ces matériaux offrent une esthétique naturelle et une résistance importante dans le temps.
La technique All-on-6 Portugal est aujourd’hui considérée comme l’une des meilleures solutions pour les patients ayant perdu toutes leurs dents ou dont la dentition est gravement abîmée.
À qui s’adresse le traitement All-on-6 ?
Le traitement All-on-6 au Portugal s’adresse principalement aux patients qui ont perdu la majorité de leurs dents ou dont les dents restantes sont trop abîmées pour être conservées.
De nombreux patients portant des dentiers amovibles souhaitent également passer à une solution fixe. Les prothèses amovibles peuvent en effet devenir instables avec le temps, notamment en raison de la résorption de l’os de la mâchoire.
Le All-on-6 Portugal peut également être indiqué chez les patients souffrant de maladies parodontales avancées. Lorsque les dents deviennent mobiles et que le soutien osseux est insuffisant, une réhabilitation complète de la dentition peut être envisagée.
Les patients qui souhaitent éviter la pose d’un grand nombre d’implants dentaires peuvent également bénéficier d’un All-on-6 au Portugal. Cette technique permet en effet de remplacer toutes les dents avec seulement six implants.
Avant de proposer un traitement All-on-6, le dentiste réalise toujours une analyse complète comprenant radiographies et scanner 3D afin d’évaluer la qualité et le volume de l’os disponible.
Différence entre All-on-4 et All-on-6

Les techniques All-on-4 et All-on-6 sont toutes deux utilisées pour remplacer toutes les dents d’une mâchoire grâce à des implants dentaires.
La différence principale concerne le nombre d’implants utilisés. Dans un All-on-4, la prothèse complète repose sur quatre implants dentaires. Dans un All-on-6, la prothèse est fixée sur six implants.
Le All-on-6 au Portugal offre une stabilité supplémentaire grâce au nombre plus élevé d’implants. Les forces de mastication sont réparties sur une surface plus large, ce qui peut améliorer la durabilité du traitement.
Dans certains cas, le protocole All-on-4 est utilisé lorsque la quantité d’os est limitée. Cependant, lorsque l’os est suffisant, le All-on-6 Portugal peut offrir une solution encore plus stable.
Le choix entre All-on-4 et All-on-6 dépend toujours de l’analyse clinique réalisée par le dentiste.

Comment se déroule un traitement All-on-6 au Portugal ?
Un traitement All-on-6 au Portugal se déroule généralement en plusieurs étapes bien définies.
La première étape consiste en une consultation initiale permettant d’établir un diagnostic complet. Le dentiste réalise des radiographies et souvent un scanner 3D afin de planifier précisément la position des implants.
Dans de nombreuses cliniques spécialisées dans le All-on-6 Portugal, il est possible d’effectuer cette première analyse à distance grâce à l’envoi d’examens radiologiques.
Lors du premier séjour au Portugal, les implants dentaires sont posés dans l’os de la mâchoire. Cette intervention est réalisée sous anesthésie locale et dure généralement quelques heures.
Dans la majorité des cas, une prothèse provisoire fixe est installée peu après la pose des implants. Cette technique est appelée mise en charge immédiate.
Après une période de cicatrisation de plusieurs mois, le patient revient pour la pose de la prothèse définitive. Cette prothèse est réalisée sur mesure afin d’obtenir une esthétique naturelle et une mastication efficace.
Le protocole All-on-6 au Portugal permet donc de retrouver rapidement une dentition fixe.
Combien de temps dure un traitement All-on-6 au Portugal ?

La durée d’un traitement All-on-6 au Portugal dépend de plusieurs facteurs, notamment la qualité de l’os et la complexité du cas.
Dans la plupart des situations, la pose des implants et l’installation d’une prothèse provisoire peuvent être réalisées lors du premier séjour. Cette phase permet au patient de retrouver immédiatement une dentition fonctionnelle.
Après la pose des implants, une période de cicatrisation appelée ostéointégration est nécessaire. Cette phase dure généralement entre trois et six mois.
Une fois les implants parfaitement intégrés dans l’os, la prothèse définitive est installée. Dans un All-on-6 Portugal, cette prothèse finale est souvent réalisée en céramique ou en zircone.
Au total, le traitement complet peut s’étendre sur plusieurs mois, mais le patient peut retrouver un sourire fonctionnel dès le premier séjour.
Quel est le prix d’un All-on-6 au Portugal ?

Le prix d’un All-on-6 au Portugal dépend de plusieurs éléments, notamment la clinique choisie, les implants utilisés et le type de prothèse finale.
Dans plusieurs pays européens, le coût d’une réhabilitation complète avec implants peut atteindre des montants très élevés. C’est l’une des raisons pour lesquelles de nombreux patients se tournent vers le All-on-6 Portugal.
Les cliniques dentaires portugaises proposent souvent des plans de traitement détaillés comprenant la chirurgie implantaire, la prothèse provisoire et la prothèse définitive.
Le traitement All-on-6 au Portugal peut ainsi représenter une solution intéressante pour les patients souhaitant bénéficier d’une réhabilitation complète dans un cadre médical européen.
Il reste toutefois essentiel de choisir une clinique expérimentée et de privilégier la qualité du traitement plutôt que le prix seul.
Pourquoi le traitement All-on-6 au Portugal attire autant de patients
Le All-on-6 au Portugal attire chaque année un nombre croissant de patients internationaux. Plusieurs facteurs expliquent cette popularité.
Le Portugal possède des cliniques dentaires modernes équipées de technologies numériques avancées. Les dentistes spécialisés dans l’implantologie disposent d’une grande expérience dans les traitements de réhabilitation complète sur implants.
Les laboratoires dentaires portugais jouent également un rôle important dans la réussite du All-on-6 Portugal. Les prothèses sont souvent fabriquées à partir de matériaux de haute qualité comme la zircone ou la céramique.
Le cadre réglementaire européen garantit également un niveau élevé de sécurité pour les patients.
Enfin, le Portugal est une destination facilement accessible depuis la plupart des grandes villes européennes.
Pourquoi Porto est devenu une destination du tourisme dentaire
La ville de Porto est devenue une destination importante pour les patients qui recherchent un All-on-6 au Portugal.
Plusieurs cliniques spécialisées dans l’implantologie se trouvent dans cette ville et proposent des traitements complets de réhabilitation dentaire sur implants.
Porto dispose également d’un aéroport international qui facilite les déplacements des patients étrangers.
La taille humaine de la ville permet également de simplifier les déplacements entre la clinique, l’hôtel et les lieux de consultation.
De nombreux patients apprécient également le cadre agréable de la ville et son atmosphère authentique.

Taux de succès des implants All-on-6
Les implants utilisés dans un traitement All-on-6 au Portugal présentent des taux de succès très élevés.
Plusieurs études scientifiques indiquent que les implants dentaires peuvent atteindre des taux de réussite supérieurs à 95 %. Ces résultats dépendent toutefois de nombreux facteurs, notamment la qualité de l’os et l’hygiène bucco-dentaire du patient.
Dans un All-on-6 Portugal, la planification précise de la position des implants contribue fortement au succès du traitement.
Le suivi régulier chez le dentiste est également essentiel pour assurer la longévité du traitement.
Combien de temps durent les implants All-on-6 ?
Les implants utilisés dans un All-on-6 au Portugal sont conçus pour durer de nombreuses années.
Dans la plupart des cas, les implants dentaires peuvent rester en place pendant plusieurs décennies. La prothèse fixée sur ces implants peut également avoir une durée de vie très longue.
La durabilité d’un All-on-6 Portugal dépend toutefois de plusieurs facteurs comme l’hygiène bucco-dentaire, les visites de contrôle et les habitudes alimentaires.
Une bonne hygiène et un suivi régulier permettent de préserver la santé des implants sur le long terme.

Questions fréquentes sur le All-on-6 au Portugal
Combien d’implants sont nécessaires pour un All-on-6 ?
Le traitement All-on-6 repose sur la pose de six implants dentaires qui soutiennent une prothèse fixe complète.
Combien coûte un All-on-6 au Portugal ?
Le prix d’un All-on-6 au Portugal varie en fonction de la clinique et du type de prothèse utilisée.
Combien de temps dure un All-on-6 ?
Un All-on-6 peut durer plusieurs décennies lorsqu’il est correctement entretenu et suivi par un dentiste.
All-on-6 au Portugal : une solution durable pour remplacer toutes les dents
Le All-on-6 au Portugal est aujourd’hui l’une des solutions les plus fiables pour remplacer toutes les dents d’une mâchoire grâce aux implants dentaires.
Cette technique permet de retrouver une dentition fixe, esthétique et confortable tout en bénéficiant d’une technologie moderne d’implantologie.
De plus en plus de patients choisissent le All-on-6 Portugal afin de retrouver un sourire naturel et une mastication efficace.
Pour les personnes qui souhaitent remplacer toutes leurs dents avec une solution durable, le traitement All-on-6 au Portugal représente aujourd’hui une option sérieuse à envisager.
SOURCES:
European Association for Osseointegration – Implant-supported full-arch prosthesesPage pédagogique expliquant les restaurations complètes sur implants (type All-on-4 ou All-on-6), leurs
indications cliniques, la planification chirurgicale et les résultats à long terme.
(Consulté le 13/03/2026)
International Team for Implantology (ITI) – Treatment guide for edentulous patients
Guide clinique détaillant les protocoles implantaires pour les patients édentés, incluant les restaurations complètes sur implants et les étapes de planification et de traitement.
(Consulté le 13/03/2026)
Cochrane Oral Health – Dental implants for replacing missing teeth
Revue scientifique analysant les données cliniques sur les implants dentaires utilisés pour remplacer les dents manquantes et l’efficacité des prothèses fixes soutenues par implants.
(Consulté le 13/03/2026)








